社交专题 第227页

【梦见和男朋友啪啪啪】

【梦见和男朋友啪啪啪】

社交专题 114
梦想与男朋友做爱吗?梦见与男友发生性关系意味着什么?请参阅以下对与Dayu Dream Drightation编辑与您的男友发生性关系的梦的分析。我希望回答问题并解决网民的问题,并摆脱失落的道路。 梦想与男朋友做爱 梦想与男友发生性关系表明,梦想家的财富最近有所增加。以前的压力生活已经结束。现在,他可以开始钓...
【特别关注】嘉奖名单(第三批)

【特别关注】嘉奖名单(第三批)

社交专题 131
10月12日,市政党委员会组织部门和市政人力资源和社会保障局决定赞扬该市流行病预防和控制斗争的阶段和批次斗争的个人。前两批赞扬了210人,这激发了该市党员,干部和大众赢得流行病的高度奋斗的战斗精神,并营造了一种良好的氛围,倡导高级,从高级学习和努力成为高级的氛围。为了进一步鼓励城市的党员,干部和群众努力工作开...
毕节:病虫诊断在田间 技术培训到现场

毕节:病虫诊断在田间 技术培训到现场

社交专题 372
目前,第二代粘性昆虫在比吉市某些地区类似区域和花卉布置,威胁着谷物和油作物以及饲料草的生长安全,例如玉米,高粱和大米。 6月19日,为了有效控制粘性昆虫的预防和控制,比吉市的植物保护和植物检验站,锡金县农业工业发展服务中心以及上海县上海上海上海镇镇植物保护技术人员前往上的培训和技术培训,并培训技术培训,并驾驶...
期权会计确认

期权会计确认

社交专题 115
序言:本网站已为您仔细编写了选项会计确认示例,希望为您的创建提供参考值。我们的客户服务老师可以帮助您提供个性化的参考样本。欢迎咨询。 1。金融工具,衍生金融工具和期权的定义 金融工具是指构成一家企业的金融资产的合同,并构成另一个企业的金融负债或权益工具。衍生金融工具是指具有以下特征的金融工具:①其价值变化,...
稳面积增单产 让粮田变良田

稳面积增单产 让粮田变良田

社交专题 101
扬山丝绸幼苗已经成熟。照片由风水 今年,扬山(Yangshan)已完成337,821 MU的谷物种植区,产量为106,670吨,石油食品面积为96449亿MU;举办了8门培训课程,用于领先的品种和主要技术促销,培训约390人;添加了8个新的自动智能昆虫情况监测系统,以充分掌握作物疾病和害虫的发生动态。农作物...
水痘病毒潜伏50年,变身带状疱疹上演致命疼痛,得过水痘的亲必看

水痘病毒潜伏50年,变身带状疱疹上演致命疼痛,得过水痘的亲必看

社交专题 120
深阅读大片正在发布 “好吧,为什么我会感染不幸的小V病毒?” “作为有水痘的人,我们都是带状疱疹的潜在用户,这太可怕了!” 如何治疗带状疱疹?照顾时我应该注意什么?您关心的人会被感染吗? 积极的预防,科学治疗和安全护理。在这一集中,我会给你一个很好的外观! 预防 传播小V病毒的方法有两种:它带有液滴,...
股票期权会计分录是如何进行的?

股票期权会计分录是如何进行的?

社交专题 106
股票期权是激励员工的金融工具,允许员工在特定时间段内以一定价格购买公司的股票。在会计中,股票期权与普通股不同,需要特殊的会计条目才能记录交易。本文将探讨股票期权的会计处理,以帮助您更好地了解此过程。首先开元ky888棋牌官方版,我们需要了解如何确定股票期权的价值。选项的价值通常由选项定价模型(例如黑色chol...
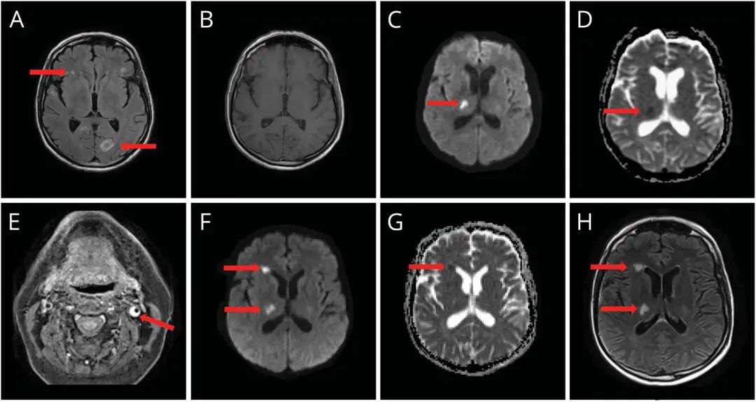
水痘带状疱疹病毒导致的颈动脉夹层,你遇见过吗?丨病例探究

水痘带状疱疹病毒导致的颈动脉夹层,你遇见过吗?丨病例探究

社交专题 106
案例配置文件 该患者是一名65岁的农民,他因“不适,头痛,发烧和烦躁不安2周来访问医院”。然后,患者在右侧的第四个颅神经的意识和瘫痪中产生了困惑。腰穿刺被认为是淋巴细胞性脑膜炎。 CSF淋巴细胞为405/μL,单核细胞为90%,蛋白质增加了189 mg/dL(15-45 mg/dl),血清和CSF之间的葡萄糖...
小企业的股票期权会计分录如何做?

小企业的股票期权会计分录如何做?

社交专题 95
小企业股票期权的会计处理 在小型企业的金融业务中,股票期权是一个相对复杂但重要的经济业务。正确的会计条目对于准确反映公司的财务状况和经营业绩至关重要。 首先,我们需要澄清股票期权的概念。股票期权是指雇员赋予的权利,其权利有权在未来的一定时期内以预定的价格和条件购买公司的一定数量的股票。 当企业授予员工股票期...